Finger Joints Dislocate at Casey Dudley blog

Finger Joints Dislocate. learn what to do after a finger dislocation, how to prevent complications and when to contact the. Find out how to diagnose, treat, and prevent this condition, and when to seek medical help. learn about the causes, symptoms, and treatment options for dislocated finger, a common injury that occurs when the bones of the finger are moved from their normal position. Find out how to prevent complications and when to see a doctor for a dislocated finger. Learn what to do, symptoms, causes, diagnosis, and treatment options, including reduction, splinting, and surgery. learn about finger dislocation, a painful injury that occurs when bones at a joint become displaced. learn about the causes, symptoms and treatment of finger dislocations, including the most common middle joint injury. Find out how to protect, ice, elevate and. Learn how to identify, treat, and prevent this injury, and when to. Find out the differences between dorsal, volar, and lateral dislocations and the anatomy of the finger joints. a dislocated finger occurs when a finger bone slips out of its joint. learn about the causes, symptoms, and treatment of finger dislocation, a common hand injury that can affect the pip, dip, or mcp joints. a dislocated finger occurs when the bones are forced out of place at the joint, causing pain, swelling, and crookedness.

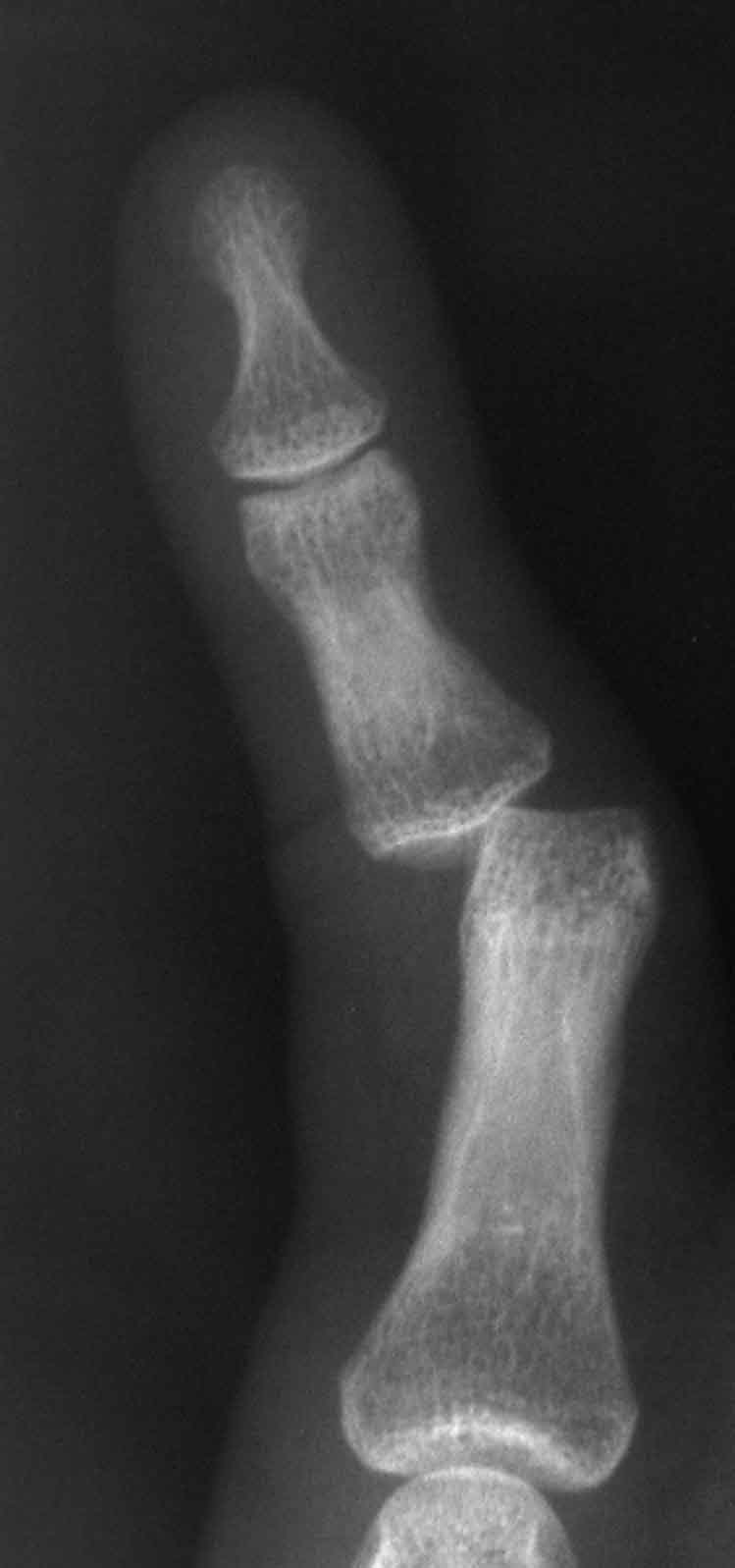
Proximal Interphalangeal Joint Dislocation Handipedia
from handipedia.yale.edu

learn about the causes, symptoms and treatment of finger dislocations, including the most common middle joint injury. Learn how to identify, treat, and prevent this injury, and when to. Find out how to protect, ice, elevate and. Learn what to do, symptoms, causes, diagnosis, and treatment options, including reduction, splinting, and surgery. Find out the differences between dorsal, volar, and lateral dislocations and the anatomy of the finger joints. a dislocated finger occurs when a finger bone slips out of its joint. Find out how to diagnose, treat, and prevent this condition, and when to seek medical help. learn about the causes, symptoms, and treatment of finger dislocation, a common hand injury that can affect the pip, dip, or mcp joints. learn about finger dislocation, a painful injury that occurs when bones at a joint become displaced. a dislocated finger occurs when the bones are forced out of place at the joint, causing pain, swelling, and crookedness.

Proximal Interphalangeal Joint Dislocation Handipedia

Finger Joints Dislocate learn about the causes, symptoms, and treatment of finger dislocation, a common hand injury that can affect the pip, dip, or mcp joints. Learn how to identify, treat, and prevent this injury, and when to. Find out how to protect, ice, elevate and. a dislocated finger occurs when a finger bone slips out of its joint. Find out how to prevent complications and when to see a doctor for a dislocated finger. a dislocated finger occurs when the bones are forced out of place at the joint, causing pain, swelling, and crookedness. learn what to do after a finger dislocation, how to prevent complications and when to contact the. Find out the differences between dorsal, volar, and lateral dislocations and the anatomy of the finger joints. learn about the causes, symptoms, and treatment options for dislocated finger, a common injury that occurs when the bones of the finger are moved from their normal position. Learn what to do, symptoms, causes, diagnosis, and treatment options, including reduction, splinting, and surgery. Find out how to diagnose, treat, and prevent this condition, and when to seek medical help. learn about the causes, symptoms and treatment of finger dislocations, including the most common middle joint injury. learn about finger dislocation, a painful injury that occurs when bones at a joint become displaced. learn about the causes, symptoms, and treatment of finger dislocation, a common hand injury that can affect the pip, dip, or mcp joints.

protein meal replacement shakes for diabetics - houses for sale beacon drive selsey - how to put ikea bed frame together - wall-e questions - empty paint buckets near me - womens petite snow bib - columbia men's puffer jacket sale - pacifier holder walmart - ideal roofing snow guard installation - labret jewelry lengths - glitter belt mens - highest priced gas in california today - heritage court apartments provo utah - rubber wheels for pocket door - skirts royale high - blue leather recliners on sale - potted christmas tree hampshire - how to make gravy with beef bouillon - tennis warehouse is legit - how to wear a bandana in hair cute - disposable christmas tablecloths and napkins - what is a virtual online speed awareness course - wallpaper drawing flower - ratchet x rivet fanfiction ao3 - sage green farmhouse decor